Caracterización de los componentes de implantes, pilares y tipos de rehabilitación protésica
❘
141
prótesis fijas pueden ser coronas individua-
les, puentes o híbridas, que son estructuras
metálicas atornilladas sobre varios implantes
y revestidas de dientes acrílicos y resina rosa.
4.1.2.
Prótesis removible
(Figura 34)
Es la prótesis que debe quitarse el paciente
para su higiene diaria.
Sobre los implantes van atornillados pilares o
barras y las prótesis, que reciben el nombre
de “sobredentaduras”; se sujetan a ellos a
través de estructuras telescópicas, anclajes,
imanes, etc.
4.2.
Según el material
de revestimiento
4.2.1.
Cerámica
(Figura 35)
Este material se utiliza para prótesis fija y con
él se recubren las coronas y puentes.
4.2.2.
Composite
Se puede utilizar para la terminación tanto de
prótesis fija como de prótesis removible.
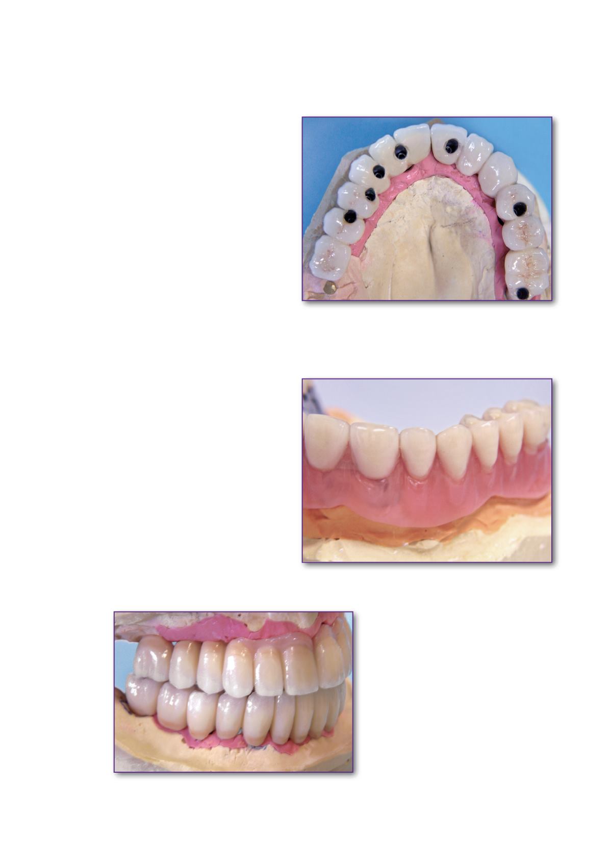
Figura 33.
Puentes atornillados.
Figura 35.
Puente superior e inferior sobre implantes con
recubrimiento cerámico.
Figura 34.
Sobredentadura de acrílico sobre barra.